散瞳(瞳を開く)不要の超広角眼底カメラで、糖尿病・高血圧等 定期検査しましょう!!
いよいよ暑い夏が終わり、涼しい秋がやっときましたね。今回は糖尿病等 眼底疾患の患者さんに、是非、定期検査を 「手軽でありながら確実」に「しっかり継続して」受けていただけますよう当院に導入済みの
「超広角眼底カメラ」のご紹介を再度させてください!
機械導入してかなり経ちますが、現在ご通院中の皆様には大変ご好評いただき、継続検査を実施いたしております。
安心材料としてもご提示することができ、網膜疾患の早期発見と悪化を未然に防ぐきっかけも持て、早期治療にもつながっています。主な対象疾患は
・糖尿病網膜症
・高血圧性網膜症
・動脈硬化性網膜症
・網膜剥離・裂孔
・飛蚊症原因判別
などで、基本的に眼底検査は瞳を開いて検査することが理想ですが、この機器は
「散瞳」せず撮影が可能です!
糖尿病網膜症の定期検査等車通院でないと困る方
勤務の隙間通院等で散瞳できない方、総じて通院することが継続しにくくなる方に特にお勧めです!!
さらに!それだけでなく、従来より
「より広く」撮影が可能なのです!
従来の眼底画像です↓
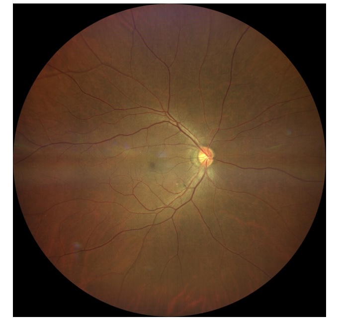
新しい「超広角眼底カメラ」の画像です↓
確認できる範囲がかなり広がっているのがお分かりになるでしょうか?
・例えば糖尿病網膜症とは合併症の一つとして網膜に眼底出血を起こし悪化すると失明のリスクを持つ怖い病気です。失明原因の第3位になります。
しかし初期の出血では症状が出にくく、早期発見・治療は難しい疾患でもあり「定期的な眼科受診」が何より大切ですが、通院の継続中断が多い現状も見受けられます。
こちらは超広角カメラ撮影の糖尿病網膜症眼底写真です。従来の撮影より広く出血を確認でき、さらに散瞳せず通院が可能です。いかがでしょうか?
疾患の状況・程度によっては散瞳を必要とすることがもちろん発生いたしますが、基本的定期検査として無散瞳(瞳を開かない)で撮れるこのカメラは、 お車でお越しいただける検査になりますのでお気軽にお越しくださいませ。皆様がより良い検診を継続いただけますように。 お待ちしています!
しんかい眼科クリニック 看護師:田村







